Digital X-Rays

Crystal Clear Results for Faster Diagnosis
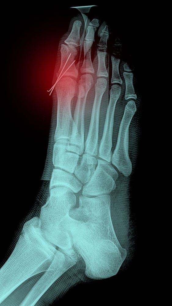
Clear Imaging for Fast and Accurate Diagnosis
Digital radiology has transformed podiatric care by providing immediate, high-resolution images that allow our podiatrists to identify stress fractures, joint issues, and other abnormalities with precision. Available in both our Bethesda, MD and Springfield, VA offices, digital X-rays give us the ability to view and interpret results right away, ensuring a faster and more accurate diagnosis for painful foot and ankle conditions.
We also use digital X-rays to track changes in foot structure over time, which helps us manage chronic conditions and evaluate treatment effectiveness. In addition, digital imaging may be used to guide surgical procedures and can easily be shared with other physicians involved in your care.
Our goal is to provide accurate diagnoses and effective treatment planning using the safest and most advanced technology available, so you can begin the right care without delay.
Start Your Journey to Wellness Today
Talk With Foot and Ankle Specialist Today!
Ready to take the first step towards healthier, pain-free feet? Contact us to schedule an appointment or to learn more about our foot and ankle services. Our dedicated podiatric team is here to provide personalized care and answer any questions you may have about your lower extremity concerns. Reach out today and let us help you achieve optimal foot health and mobility for an active lifestyle.


